Bacillus Coagulans là loài vi khuẩn sinh axit lactic thuộc vào chi Bacillus. Vi sinh Bacillus Coagulans được BW Hammer phân lập và mô tả như là Coagulans Bacillus vào năm 1915 tại Trạm thí nghiệm nông nghiệp. Cho đến 1935, vi khuẩn Bacillus Coagulans này lại được mô tả như Lactobacillus sporogenes. Dưới đây chúng ta cùng đi tìm hiểu chi tiết Bacillus Coagulans là gì và công dụng của nó ra sao và có thể mua nó ở đâu?

* Bacillus Coagulans là gì?
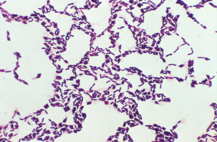
Bacillus coagulans là một loại vi khuẩn. Bacillus coagulans được sử dụng tương tự như lactobacillus và probiotic khác như vi khuẩn có ích. Bacillus Coagulans là vi khuẩn Gram dương, có dạng hình que di động, phát triển ở nhiệt độ 35-50° C, hình thành bào tử, có thể cử động dể dàng, tùy ý yếm khí, pH thích hợp từ 5.5 - 6.5.
Người ta sử dụng Bacillus coagulans để điều trị:
+ Tiêu chảy, bao gồm tiêu chảy do virus ở trẻ em, tiêu chảy của người du lịch, và tiêu chảy do kháng sinh gây ra
+ Các vấn đề về tiêu hóa
+ Hội chứng ruột kích thích (IBS)
+ Bệnh viêm ruột (IBD, bệnh Crohn, viêm loét đại tràng)
+ Viêm đại tràng Clostridium difficile
+ Chống lại sự phát triển của vi khuẩn có hại
+ Nhiễm Helicobacter pylori, gây loét dạ dày
+ Nhiễm trùng đường hô hấp
+ Phòng chống ung thư
+ Tăng cường hệ thống miễn dịch
+ Là một tác nhân được bổ sung vào vắc-xin để nâng cao hiệu quả.
* Tác dụng của Bacillus coagulans
Bacillus coagulans sản sinh ra các acid lactic, coagulins có tác dụng tạo môi trường pH cho đường ruột và ngăn ngừa sự phát triển của các vi khuẩn có hại. Ngoài ra, men vi sinh Bacillus coagulans còn sản sinh các men tiêu hóa bao gồm amylase và protease, có tác dụng tăng cường hệ miễn dịch, ngăn ngừa lây nhiễm virus, phòng chống và phối hợp điều trị chứng rối loạn tiêu hóa cấp và mãn tính ở trẻ em. Vì vậy, men vi sinh Bacillus coagulans có thể được dùng làm thực phẩm chức năng giúp tăng cường miễn dịch, bổ sung hệ vi khuẩn và các men tiêu hóa có lợi cho đường ruột.

Bào tử Bacillus coagulans có khả năng tồn tại bền vững trong môi trường acid của dịch vị dạ dày nên nó có thể đi qua dạ dày một cách an toàn, khi tới ruột sẽ nảy mầm thành vi khuẩn có lợi cho hệ tiêu hóa và cung cấp thêm dinh dưỡng.
Men vi sinh Bacillus coagulans đã được Cục Quản lý An toàn Thực phẩm và Thuốc của Mỹ FDA phê duyệt và được chỉ định là đủ điều kiện cho các mục đích y dược. Nó được sử dụng để bổ sung vào thực phẩm nấy chín, thức ăn trực tiếp trong sản xuất chăn nuôi như ở lợn, gia súc, gia cầm và tôm, cá.
* Bacillus coagulans có thể tương tác với những gì?
Thảo dược này có thể tương tác với những thuốc bạn đang dùng hay tình trạng sức khỏe hiện tại của bạn. Tham khảo ý kiến tư vấn của thầy thuốc hay bác sĩ trước khi sử dụng bacillus coagulans.
Các sản phẩm có thể tương tác với bacillus coagulans bao gồm:
+ Thuốc kháng sinh: Thuốc kháng sinh được dùng để giảm các vi khuẩn có hại trong cơ thể. Thuốc kháng sinh cũng có thể làm giảm các vi khuẩn khác trong cơ thể. Dùng thuốc kháng sinh cùng với bacillus coagulans có thể làm giảm các lợi ích của bacillus coagulans. Để tránh sự tương tác này, hãy dùng các sản phẩm Bacillus coagulans ít nhất 2 giờ trước hoặc sau khi dùng kháng sinh.
+ Thuốc ức chế miễn dịch: Các loại bacillus coagulans có thể làm tăng hệ miễn dịch. Dùng bacillus coagulans cùng với các thuốc làm giảm hệ miễn dịch có thể làm giảm hiệu quả của các thuốc làm giảm hệ miễn dịch.
Một số loại thuốc giảm hệ miễn dịch bao gồm azathioprine (Imuran®), basiliximab (Simulect®), cyclosporine (Neoral®, Sandimmune®), daclizumab (Zenapax®), muromonab-CD3 (OKT3®, Orthoclone OKT3®), mycophenolate (CellCept®), tacrolimus (FK506, Prograf® ), sirolimus (Rapamune®), prednisone (Deltasone®, Orasone®), corticosteroid (glucocorticoid) và các loại khác.
* Mua Bacillus coagulans ở đâu?
Hiện nay trên thị trường có nhiều sản phẩm có chứa Bacillus coagulans. Sản phẩm được người tiêu dùng đánh giá cao về chất lượng phải kể đến Oncocess Rx của Mỹ. Sản phẩm có chứa hoạt chất Staimune™(Bacillus Coagulans). Ganeden là đơn vị đi đầu trong nghiên cứu về probiotic và phát triển sản phẩm với một thư viện rộng lớn về các nghiên cứu đã xuất bản và hơn 135 bằng sáng chế cho công nghệ probiotic trong thực phẩm bổ sung, thực phẩm, đồ uống, sức khỏe động vật, dinh dưỡng thể thao và thị trường thành phần chăm sóc cá nhân. Ganeden được biết đến nhiều nhất bởi phát minh sáng chế về GedenedenBC30, FDA GRAS và thành phần probiotic rất ổn định. Staimune™giúp cơ thể chủ động củng cố một hệ thống miễn dịch khoẻ mạnh để đối phó với các yếu tố gây căng thẳng và thách thức mà cơ thể phải đối mặt hàng ngày. Staimune™ là một chế phẩm sinh học độc đáo, ổn định có tên là GanedenBC30 để hỗ trợ hệ thống miễn dịch của bạn.

Thông qua quá trình lên men của GanedenBC30, Ganeden đã phát triển Bonicel®, thành phần chăm sóc cá nhân được hỗ trợ khoa học đầu tiên, được chứng minh là có khả năng làm giảm đáng kể các dấu hiệu lão hóa. Staimune™ bao gồm các tế bào GanedenBC30 bất hoạt, có lợi ích miễn dịch, có thể dễ dàng kết hợp vào chế độ bổ sung hàng ngày cung cấp một loạt các lợi ích sức khỏe miễn dịch
Staimune™ là:
• Không gây dị ứng
•Chứng chỉ FDA, GRAS và Kosher
• Không gây biến đổi gen
• Tuân thủ hữu cơ • Được cấp bằng sáng chế
Hãy nghĩ về Staimune™ như thế này. Nếu có một đám cháy, bạn muốn xe cứu hỏa và lính cứu hỏa được trang bị những thiết bị hiện đại, kiến thức, kinh nghiệm đủ mạnh, phản ứng nhanh, kịp thời để dập tắt ngay đám cháy, giống như vậy Staimune™ trang bị cho hệ thống miễn dịch của bạn mọi sức mạnh để sẵn sàng cho mọi tình huống.
Oncocess Rx là công thức phối hợp đặc biệt giữa công nghệ probiotic được cấp bằng sáng chế về các tế bào GanedenBC30 bất hoạt đem lại lợi ích miễn dịch to lớn và cực kỳ hữu ích, thúc đẩy dinh dưỡng và miễn dịch với tên thương mại là Staimune™ đã được phê chuẩn bởi FDA Hoa Kỳ về GRAS (công nhận an toàn), không biến đổi gen, sản phẩm hữu cơ và tuân thủ luật kosher (phù hợp/tinh khiết) kết hợp với Beta Glucan nấm men và các thảo dược quý như Graviola Annona Muricata (Lá mãng cầu xiêm), Ganoderma Lucidum (nấm linh chi đỏ) và Garcinia mangostana (chiết xuất từ quả măng cụt) đã được đăng ký bản quyền về thương hiệu giữa các nhà khoa học của hãng Veda Biologics LLc, nhà sản xuất Fine Living Pharmanaturals và nhà phân phối BNC Medipharm.

Oncocess Rx đã được Bộ Y Tế cấp phép cho Công Ty TNHH TM DV Y Tế Bình Nghĩa nhập khẩu và phân phối độc quyền tại Việt Nam. Khi chúng ta già đi, hệ miễn dịch bị suy yếu và đáp ứng miễn dịch chậm lại. Để chống lại điều này, người trưởng thành cần phải tiếp cận chủ động phòng bệnh và cải thiện chất lượng cuộc sống bằng cách bổ sung, duy trì và hỗ trợ chức năng miễn dịch của mình.
Sử dụng Oncocess Rx hàng ngày giúp Staimune™ gắn với các thụ thể (Receptors) trên bề mặt các tế bào miễn dịch của cơ thể giúp tăng cường và củng cố hệ thống đáp ứng miễn dịch cả tự nhiên và mắc phải. Tác dụng này cung cấp cho cơ thể khả năng bảo vệ, chống lại các thách thức, tác nhân gây suy giảm hệ thống miễn dịch và giúp cơ thể kiểm soát các quá trình viêm nhiễm, căng thẳng, stress…
OncoCess Rx giữ vai trò rất quan trọng trong dinh dưỡng hàng ngày của bạn. Nó giúp bạn duy trì, cải thiện và tăng cường sức khỏe cả thể chất lẫn tinh thần một cách rõ rệt, và năng cao chất lượng cuộc sống.
Công dụng Oncocess Rx:
- Giúp cải thiện sức khỏe thể chất, tăng cường và thúc đẩy sức sống, sức chịu đựng, nhiệt huyết, tinh thần sáng suốt và cải thiện chất lượng cuộc sống.
- Tăng cường hệ thống miễn dịch, hỗ trợ miễn dịch lành mạnh, hỗ trợ và điều chỉnh chức năng miễn dịch, đáp ứng đại thực bào khỏe mạnh.

Đối tượng sử dụng: Oncocess Rx được chỉ định trong các trường hợp sau:
- Dùng cho người sức đề kháng kém, người đã và đang sử dụng kháng sinh hoặc hoá trị liệu, xạ trị trong các bệnh nhiễm khuẩn, virus, ung thư …
- Những người bị rối loạn miễn dịch: bệnh tự miễn, viêm khớp dạng thấp, bệnh Crohn, lupus ban đỏ, xơ cứng bì, vẩy nến, tiểu đường, viêm đại tràng, hội chứng Guillian-barre, bệnh Grave…
- Bảo vệ các tế bào, chống lại các tác dụng phụ ở những người đang dùng thuốc theo toa, thuốc kê đơn khác để chữa bệnh.
Chi tiết xem thêm sản phẩm tại: >>> Oncocess Rx - Tăng cường sức khỏe, nâng cao sức đề kháng
Trên đây chúng tôi đã giúp bạn tìm hiểu về hoạt chất Bacillus coagulans là gì và có công dụng ra sao. Và bạn có thể mua ở đâu uy tín an toàn. Hy vọng bài viết sẽ hữu ích với bạn và người thân.Cảm ơn bạn đã quan tâm, chúc bạn và gia đình luôn mạnh khỏe, hạnh phúc !

Không có nhận xét nào:
Đăng nhận xét